Replacing Missing Back Teeth Before and After * | Case #3

* Patients individual results may vary.

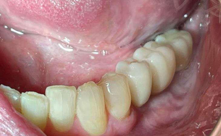
Case #3

Patient had two fractured teeth #18 & #19. The dentist recommended for extraction. We were able to extract the teeth and bone graft the area. The implants were placed two months later, and the final restoration were complete on the fourth month. Patient was extremely apprehensive about getting the procedure done under local anesthesia. With the option of IV sedation, we were able to address the patients fears and anxiety and complete the surgery.

  • Before
  • Bite
  • Final Result

Patient had two fractured teeth #18 & #19. The dentist recommended for extraction. We were able to extract the teeth and bone graft the area. The implants were placed two months later, and the final restoration were complete on the fourth month. Patient was extremely apprehensive about getting the procedure done under local anesthesia. With the option of IV sedation, we were able to address the patients fears and anxiety and complete the surgery.

Professional Memberships

Educational Background

Georgetown University The University of Pennsylvania School Of Dental Medicine Drexel University College Of Medicine University Of Medicine & Dentistry Of New Jersey

What Our
Patients Say ...